20 de noviembre 2023 - 11:01hs

La recién publicada biografía de una estrella pop de los 70, Karen Carpenter, cantante y percusionista de The Carpenters, ha sacado a la luz que el anuncio de su fallecimiento por fallo cardíaco ocultaba una muerte debida al lento envenenamiento derivado de su adicción a la raíz de ipecacuana, un ancestral remedio indígena proscrito de la práctica clínica desde finales del siglo XX.

Frasco de Polvo Drover preparado por el doctor Thomas Ritter. National Museum of Civil War Medicine collection. Harrington, PA. EEUU.

El médico Helvetius la utilizó para tratar la disentería que padecían algunos familiares de Luis XIV. Luego, la planta desapareció de la historia de la farmacopea hasta reaparecer en el siglo XVIII en la fórmula magistral del celebérrimo Polvo Dover, un curalotodo a base de raíz molida de ipecacuana, opio y sulfato de potasio que, como la moderna aspirina, fue muy popular para tratar todo tipo de procesos febriles durante doscientos años.

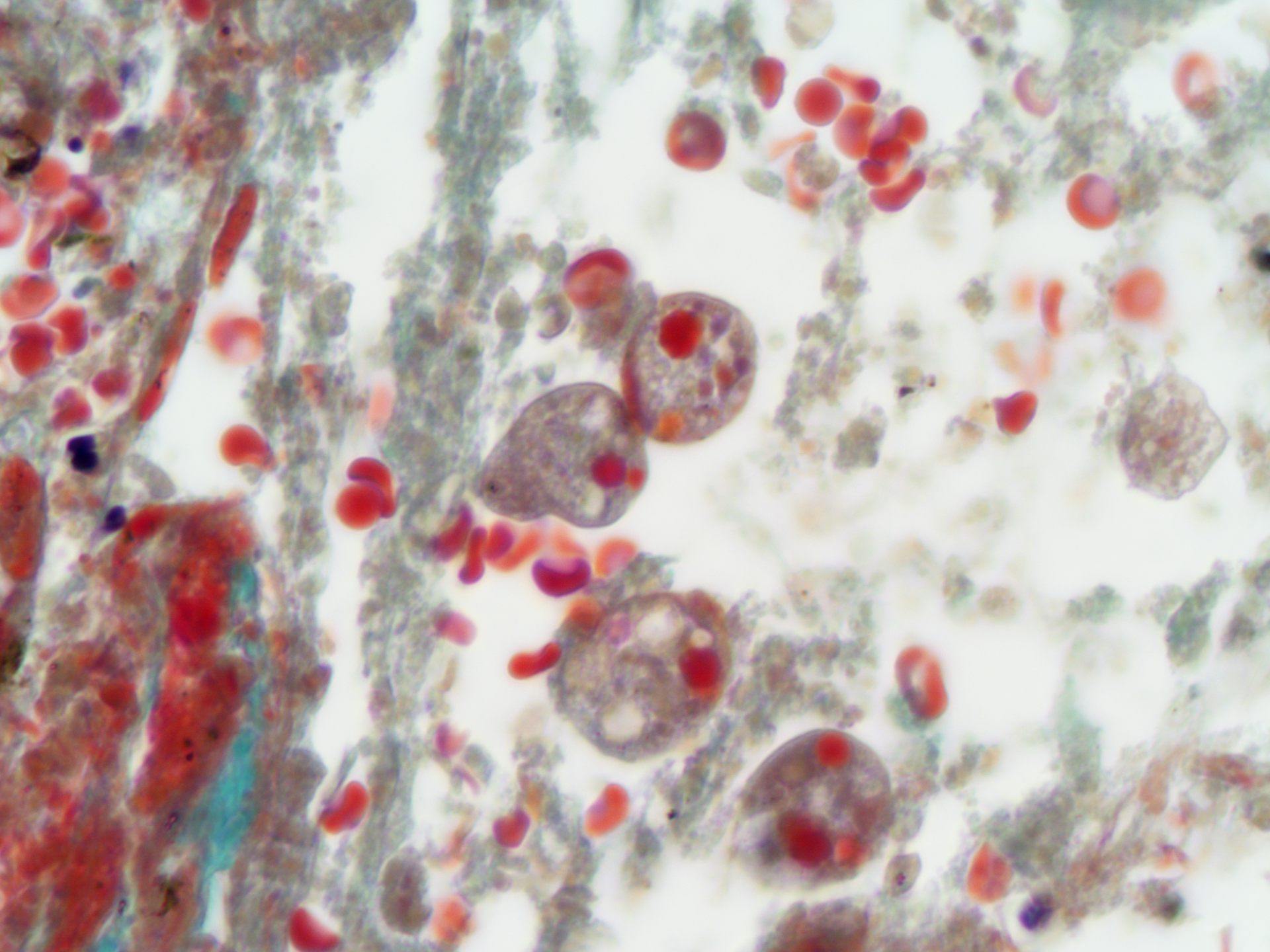
Disentería amebiana

En lo que se refiere a la disentería, cuyos terribles efectos mataban miles de enfermos empapados por vómitos y diarreas sanguinolentas, uno de los primeros hitos para su erradicación se produjo en 1875 cuando Fedor Lösch descubrió una ameba (conocida hoy como Entamoeba histolytica) en las heces de un paciente que sufría esa enfermedad.

No consuma noticias, entiéndalas.

Entamoeba histolytica. Sudarma/Shutterstock

En 1961, después de vencer dificultades investigadoras que parecían insuperables, Louis Klein Diamond logró cultivar la ameba in vitro. La misma década en que se identificó  E. histolytica se descubrió que dos géneros bacterianos, Salmonella  y Shigella, causaban otras formas de disentería. Pronto se comprobó que la raíz de ipecacuana no ejercía efecto alguno sobre esas bacterias, lo que la convirtió en un elemento diagnóstico eficaz de las intoxicaciones alimentarias.

Clorhidrato de emetina

A principios del siglo XIX, la Escuela Química de París descubrió que la raíz de ipecacuana contenía dos poderosos alcaloides, cefaelina y emetina (metilcefealina), que provocaban vómitos y diarrea continuos. La emetina se obtiene mediante extracción directa de la raíz de ipecacuana o mediante metilación de la cefaelina en laboratorio.

La emetina tiene muchas capacidades farmacológicas. En las células eucariotas inhibe la síntesis proteica, impidiendo el enlace de las cadenas peptídicas. En mamíferos bloquea la fosforilación oxidativa mitocondrial, interrumpiendo el funcionamiento de la respiración celular y provoca importantes alternaciones en el corazón y el sistema nervioso.

La práctica hospitalaria demostró que era extremadamente eficaz para erradicar la disentería por amebiosis, pero presentaba considerables dificultades prácticas. Para empezar, el paciente tenía que permanecer en reposo completo durante el tratamiento. Además, debía administrarse mediante inyección y se necesitaba ajustar la dosis con precisión. Por otro lado, era imprescindible mantener una estrecha observación para detectar reacciones en el tracto gastrointestinal (vómitos y diarrea), el sistema nervioso (polineuritis) y, sobre todo, alteraciones cardiovasculares potencialmente mortales, incluidas hipotensión y taquicardia.

Si aparecía cualquiera de ambas, el tratamiento debía suspenderse inmediatamente porque, a pesar de adoptar precauciones estrictas, no eran raros los casos de muerte súbita.

A partir de 1950 se buscaron tratamientos alternativos eficaces por vía oral y libres de efectos cardíacos potencialmente letales. Finalmente, se consiguió el éxito con diloxanida para la amebiasis intestinal y con metronidazol para la forma hepática.

Ipecacuana y vómito

Carapichea ipecacuanha. Köhler's Medizinal-Pflanzen

El polvo de ipecacuana es un inductor eficaz y seguro del vómito (tasa de éxito del 90 % al cabo de veinte minutos), por lo que resultaba muy útil para el lavado de estómago en casos de envenenamiento. Solo ocasionalmente produce complicaciones graves como rotura del esófago o del estómago, neumomediastinoneumoperitoneo y neumonía por aspiración.

Por un lado, el polvo irrita directamente el estómago y el intestino superior y, por otro, una vez absorbido en el torrente sanguíneo, actúa indirectamente sobre los quimiorreceptores del área postrema del bulbo raquídeo, que controla los vómitos en mamíferos.

En la década de 1990 hubo un amplio consenso para abandonar su uso emético reemplazándola por la instilación de carbón activado. Una vez suprimido su uso hospitalario, siguió utilizándose incontroladamente como droga por enfermos con anorexia nerviosa y bulimia, cuyo abuso llegaba a producir un síndrome clínico que incluye miopatía, neuropatía, convulsiones y muerte súbita.

Karen llegó a pesar 40 kilos

En 1975, en la cima de su carrera, Karen llegó a pesar 40 kilos. Llevaba años luchando contra la anorexia nerviosa, una enfermedad de la que apenas se sabía nada y de la que todavía se desconoce su causa exacta. En 1982, cuando pesaba sólo 34 kilos y su aparato digestivo estaba tan dañado que solo podía ser alimentada por vía intravenosa, se puso en tratamiento psicológico.

Karen Carpenter (1950-1983) Rob Corder/FlickrCC BY-NC

Confesó que podía ingerir más de noventa laxantes a base de ipecacuana de una vez y diez píldoras diarias de un medicamento a base de Levotiroxina, una forma sintética de la tirosina, la hormona tiroidea que acelera el metabolismo. En 1983, su madre la encontró desmayada en su habitación. Llegó con vida al hospital, pero su corazón no aguantó. La autopsia lo reveló todo: su cuerpo contenía grandes dosis de ipecacuana que había utilizado como inductor del vómito.

Han pasado cuarenta años desde que murió. Al menos consuela saber que su voz sigue siendo un regalo perfecto para recordar a una joven desgraciada que en 2023 hubiera cumplido 73 años.

(The Conversation)

The Conversation

Temas:

Karen Carpenter Anorexia

EO Clips

Te Puede Interesar

Más noticias de Argentina

Más noticias de España

Más noticias de Estados Unidos