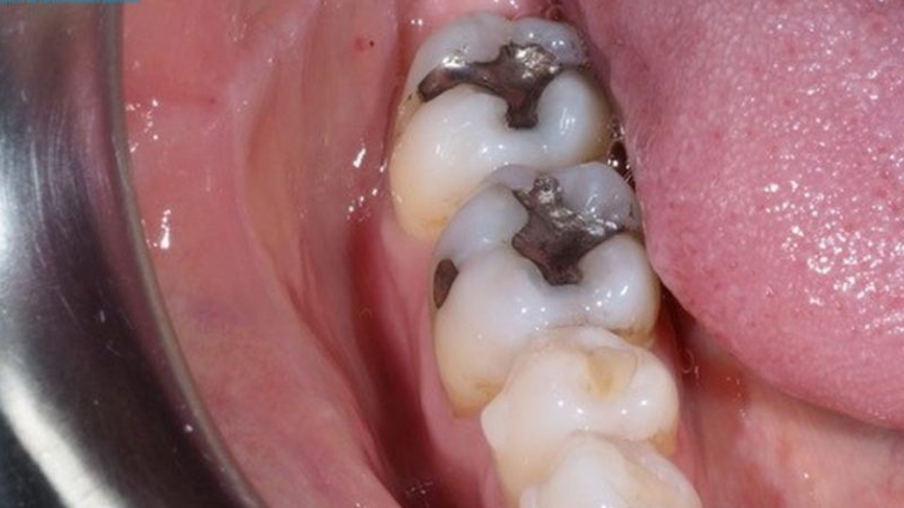
Uruguay prohibirá el uso de amalgamas dentales por impacto de mercurio en la salud y el ambiente
La ordenanza, cuya firma está prevista para los próximos días, prohibirá el uso de amalgamas dentales en procedimientos odontológicos tanto en el ámbito público como privado
5 de marzo de 2026 12:52 hs
Odontotecks
El gobierno de Uruguay firmará una ordenanza que prohíbe definitivamente el uso de amalgamas dentales en procedimientos odontológicos, debido a los riesgos que su contenido de mercurio representa tanto para la salud humana como para el medio ambiente. La medida fue adelantada por la ministra de Salud Pública, Cristina Lustemberg, quien destacó la labor conjunta de la academia, organizaciones sociales y los ministerios de Salud Pública y Ambiente para alcanzar este objetivo.
El anuncio, divulgado por Presidencia, se realizó durante la apertura de un taller regional sobre la reducción progresiva del uso de amalgamas dentales, organizado por la Organización Mundial de la Salud (OMS) en el marco del Convenio de Minamata, que busca reducir el uso de mercurio a nivel global. En su discurso, Lustemberg subrayó la importancia de la cooperación y la articulación interinstitucional para abordar los grandes desafíos de la salud y el ambiente. “Esto es el fin de un proceso, por eso somos sede de este encuentro”, dijo la ministra durante su intervención en la sede de la Asociación Latinoamericana de Integración (Aladi).
La ordenanza, cuya firma está prevista para la semana que viene, prohibirá el uso de amalgamas dentales en procedimientos odontológicos tanto en el ámbito público como privado. Una vez que sea firmada, empezará a regir la medida. Esta decisión se enmarca en la política de reducción del mercurio, considerada como uno de los principales riesgos ambientales y sanitarios.
Lustemberg también destacó que la política sanitaria debe estar guiada por el cuidado y la prevención, subrayando que “la mejor herramienta” para mejorar la salud es la prevención. En este sentido, la reducción del uso de productos que contienen mercurio es un ejemplo clave de esa estrategia. Además, la ministra hizo hincapié en la importancia de garantizar un acceso real a la salud bucal, sin que esté regido por intereses comerciales.
Por su parte, la directora nacional de Cambio Climático del Ministerio de Ambiente, Fernanda Souza, celebró los avances de Uruguay en este tema y los calificó como una "clara señal de coordinación, liderazgo y voluntad política". Souza recordó que esta medida forma parte de un proyecto conjunto con Senegal y Tailandia, en una iniciativa global liderada por el Programa de las Naciones Unidas para el Ambiente (PNUMA) y ejecutada por la OMS. Uruguay se convirtió en el primer país en completar este proyecto, lo que refuerza el compromiso del país con políticas públicas basadas en evidencia en beneficio de la población.
El taller también contó con la participación de la representante de la Organización Panamericana de la Salud (OPS) en Uruguay, Caroline Chang, y varias autoridades de salud y medio ambiente de distintos países de la región.