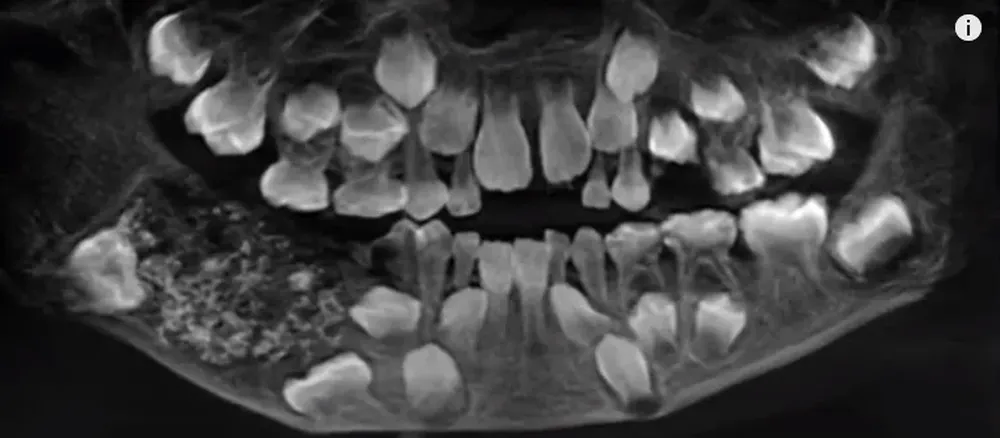
Un niño de 7 años ingresó a un hospital de India por dolor en la mandíbula y le descubrieron 526 dientes dentro de la boca, según informó la CNN.
Médicos le extrajeron 526 dientes a un niño en India
La cirugía tardó de cuatro a cinco horas
La cirugía tardó de cuatro a cinco horas
Un niño de 7 años ingresó a un hospital de India por dolor en la mandíbula y le descubrieron 526 dientes dentro de la boca, según informó la CNN.
El mes pasado el niño fue ingresado al hospital por hinchazón y dolor cerca de sus muelas en la mandíbula inferior derecha. Cuando los médicos le hicieron una placa en la boca encontraron incrustados, en su mandíbula inferior, "dientes anormales", dijo a CNN el médico Prathiba Ramani.
Los médicos necesitaron examinar de forma individual cada diente antes de poder confirmar los hallazgos, aunque la cirugía, que tardó entre cuatro y cinco horas, se realizó el mes pasado.
"Había un total de 526 dientes que iban desde 0,1 milímetros a 15 milímetros. Incluso la pieza más pequeña tenía una corona, raíz y capa de esmalte que indicaban que era un diente", dijo Ramani. El niño fue liberado tres días después de la cirugía y se espera que se recupere por completo, agregó el médico.
Ramani dijo que el niño padecía "odontoma compuesto", una condición muy rara, y agregó que la causa de la afección no está clara, pero podría ser genética o podría deberse a factores ambientales como la radiación. El niño en realidad puede haber tenido los dientes extra por algún tiempo. Sus padres les dijeron a los médicos que habían notado una hinchazón en su mandíbula cuando tenía 3 años, pero no pudieron hacer mucho al respecto porque no se quedaría quieto ni permitiría que los médicos lo examinaran.
Captura de pantalla de Youtube CC Channel
El doctor P. Senthilnathan, jefe del Departamento de Cirugía Oral y Maxilofacial del hospital y uno de los dos cirujanos que operaron al niño, detalló el procedimiento a CNN: "Bajo anestesia general, perforamos la mandíbula desde la parte superior", dijo. "No rompimos el hueso por los lados, lo que significa que no se requirió cirugía de reconstrucción. Se retiró el saco. Se puede considerar como una especie de globo con pequeños pedazos dentro", agregó.
"Se puede ver que las personas en las ciudades tienen una mejor conciencia, pero las personas que se encuentran en áreas rurales no tienen la educación o la capacidad para pagar una buena salud dental", dijo el médico.
En el caso del niño todo salió bien y ahora tiene un conteo saludable de 21 dientes, finalizó Senthilnathan.