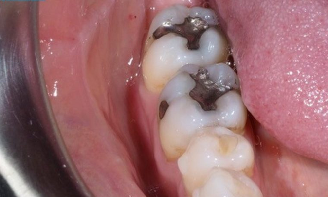
Uruguay prohibirá el uso de amalgamas dentales por impacto de mercurio en la salud y el ambiente La ordenanza, cuya firma está prevista para los próximos días, prohibirá el uso de amalgamas dentales en procedimientos odontológicos tanto en el ámbito público como privado
Aduanas incautó casi 190 mil cigarrillos, vaporizadores y un auto: mercadería fue valuada en $ 2.3 millones
Un policía fue rapiñado en Verdisol: le robaron la moto, el celular y su arma de reglamento con 15 balas
Un hombre murió tras una pelea en el puerto de Punta del Este: fue encontrado en el agua con una herida en el pecho
Interior destruirá más de 3 millones de kilos de motos y autos considerados chatarra: pretende liberar depósitos El acuerdo permitirá liberar espacios en depósitos que hasta el momento están colapsados por la cantidad de vehículos incautados; son aproximadamente 30 mil motos
Multas: cuáles son los radares de Maldonado que podrían cambiar de lugar y dónde se instalaron nuevos equipos El emplazamiento de los equipos responde a un plan de fiscalización fija en avenidas y rutas donde se detectaron excesos de velocidad y aumento de siniestralidad.
Orsi respaldó a Díaz tras acusaciones de la oposición por supuesta filtración de datos reservados en caso Cardama Los senadores Andrés Ojeda y Javier García habían enviado días atrás una carta a Orsi en la que cuestionaron la conducta de Díaz
Rosana, la madre a la que INAU le quitó a su hija adoptiva: "No podés enmendar un error institucional haciendo que lo pague la niña" Rosana Delgado fue la mamá adoptiva que eligió el INAU para Itzaé, y ocho meses después revirtió su decisión; en esta entrevista, la primera que da desde que se conoce el caso, anuncia que sus abogados irán "hasta las últimas consecuencias" Por Carolina Delisa
Un hombre de 33 años murió atropellado en Canelones: se trata del tercer peatón fallecido en las últimas horas Los otros dos accidentes fatales se produjeron el miércoles en los departamentos de Montevideo y Florida
Heber respaldó a Arbeleche y dijo que resolución de la Jutep fue un "ataque" con "intencionalidad política" El exsenador nacionalista Luis Alberto Heber calificó la resolución de la Jutep como “traída de los pelos”
Policía y Fiscalía investigan una brutal pelea a la salida de un cumpleaños de 15 en Artigas De acuerdo con la vocera de la Policía de Artigas, la disputa involucró a individuos que "aparentemente" salían del cumpleaños, "como también a personas que estaban ahí en la vía pública"
Día del Centro: este jueves y viernes el estacionamiento tarifado será gratuito en Centro, Cordón y Ciudad Vieja Durante esas jornadas, comercios adheridos de diversos rubros ofrecerán descuentos y promociones especiales
Descuento en pago de multas: cómo acceder al 50% de bonificación en infracciones a la hora de pagar la patente El nuevo sistema exige que las multas sean pagadas junto con la patente, con la opción de aplicar los descuentos establecidos
Un hombre de 42 años murió atropellado en Ruta 6: estaba junto a su hijo de 16 años caminando por la banquina El hombre fue embestido por un auto que circulaba en el mismo sentido, según la información primaria recabada por las autoridades